021-34688360
让全世界实验室都用上安全放心的细胞!

细胞知识干货:手把手教你养好SH-SY5Y细胞 | 上海富衡

图片



SH - SY5Y 细胞是SK-N-SH细胞系经3次克隆后的亚系(SK-N-SH→SH-SY→SH-SY5→SH-SY5Y),母株SK-N-SH细胞是1970年来源于4岁女性患者骨瘤转移灶的神经母细胞瘤,其在神经科学研究领域应用广泛,常被用于神经退行性疾病、神经发育以及药物研发等方面的研究。



SH-SY5Y细胞之细胞须知



SH-SY5Y细胞贴壁能力较弱,贴壁细胞呈上皮样,有短触角延伸出来,倾向于成簇生长,容易成团。富衡生物提供的SH-SY5Y细胞采用以下培养体系:


细胞名称人神经母细胞瘤细胞;SH-SY5Y
细胞别称SH-Sy5y; SHSY5Y; SHSY-5Y; SK-SH-SY5Y; SY5Y; SH-SY5Y Parental
产品货号FH0156
产品规格1×10^6cells/T25培养瓶
生长特性贴壁生长
细胞形态上皮细胞样
培养体系DMEM高糖培养基+10% FBS+1% P/S
传代比例1:2~1:3
消化时间0.5-1min
冻存条件无血清细胞冻存液(科研级)
培养环境气相:空气,95%;二氧化碳,5%。温度:37℃。

图片


针对SH-SY5Y细胞培养只需要牢记三个要点:“慢稳”“轻传”“舍聚团”。

图片
图片


养好SH-SY5Y细胞之“慢稳”



这里说的“慢稳”指的是:给细胞时间慢慢恢复,稳定状态,主要针对细胞到货以及细胞复苏常温运输过程中,细胞不免受到震荡和温度变化的影响,出现皱缩、聚团甚至脱落的现象。尤其是贴壁能力较弱的SH-SY5Y细胞,常温细胞收货后,把细胞放进细胞培养箱静置过夜以恢复状态,在稳定环境下,瓶中脱落的细胞有可能会再次贴壁;次日,观察到细胞形态舒展即可进行常规传代操作。

若细胞大片脱落且过夜无法贴壁,则通过离心将漂浮的细胞团收集起来,在离心管里进行胰酶消化后重新铺板即可。贴壁细胞常规方法消化下来,和处理好的脱落细胞合并,混匀后铺板。


SH-SY5Y细胞脱落处理步骤:

  1. 发现大片细胞聚团脱落,将培养瓶内所有培养基离心收集,1000rpm离心5-8min,弃去上清;

  2. 沉淀加入1mL胰酶轻轻吹打消化约1分钟,加入5mL完全培养基终止消化,1000rpm离心5-8min,弃去上清;

  3. 用1-2mL完全培养基吹匀,接种至2个含5-6 mL完全培养基的T25培养瓶中培养,第二天观察细胞状态,建议传代48h后再进行换液或传代操作;


复苏SH-SY5Y细胞在遵循“快复”的同时也需要注意“慢稳”


SH-SY5Y细胞复苏步骤:

  1. 冻存细胞在37℃水浴中迅速摇晃解冻;

  2. 冻存管中的细胞移至含 5ml 完全培养基的离心管中,1000rpm 离心 5min

  3. 弃去上清液,补加4-6mL完全培养基后吹匀,接种于T25培养瓶中(或6cm皿中),培养过夜,次日显微镜下观察状态,48h后再换液或者进行传代操作;


SH-SY5Y细胞复苏
图片
复苏24H
图片
复苏48H
图片

图:富衡生物复苏SH-SY5Y细胞状态(仅供参考)

(补充说明:针对SH-SY5Y细胞,换液传代操作均间隔48h,由于复苏需要间隔48h换液,不建议使用含血清的冻存体系冻存细胞,在此冻存的细胞是使用本公司生产无血清快速冻存液)

图片
图片


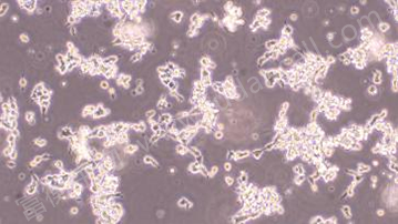
养好SH-SY5Y细胞之“轻传”



SH-SY5Y细胞容易受外界刺激,所以在进行传代时,必须轻轻吹打,哪怕是遇到有严重聚团现象的SH-SY5Y细胞也尽量不要剧烈吹打,减少对细胞的物理刺激。由于SH-SY5Y细胞倾向成簇生长,正常消化下来时,多个细胞相连是正常现象(如下图),只要给细胞充足空间生长,细胞会舒展开来。为了传代时减少对细胞的刺激,建议在细胞密度为80-90%时1:2传代,用5ml移液管吹打细胞


图片
图片
SH-SY5Y细胞传代
SH-SY5Y细胞传代24H


图片
图片


养好SH-SY5Y细胞之“舍聚团”




随着传代次数增加,可能会由于传代不当出现细胞大量聚团,甚至无舒张形态细胞的情况,应该舍弃聚团的细胞。

SH-SY5Y细胞聚团处理步骤:

  1. 1个T25瓶细胞加入1ml胰酶静置消化0.5-1min,加入5ml完全培养基终止消化,1000rpm离心5-8min,弃去上清;

  2. 离心收集到的细胞用5ml完全培养基轻轻吹打混匀重悬,静置约2-5min,待观察到离心管底部出现沉降的细胞后,轻轻吸取上清,重新铺瓶;

  3. 显微镜下观察,确认收集到细胞后放入培养箱静置培养48h,根据细胞状态进行换液或传代操作。


大量聚团的SH-SY5Y细胞
图片
取上清培养24h后
图片
取上清培养4天后
图片
取上清培养1周后
图片


(补充说明:因剧烈吹打受损的SH-SY5Y细胞要恢复大约需要一周到两周的时间,建议期间不要用PBS刺激细胞,直接换液操作即可)

图片
图片


养好SH-SY5Y细胞知识小结



牢记三个要点“慢稳”“轻传”“舍聚团”。

  • “慢稳”:传代换液操作尽量间隔48h,给细胞一定时间恢复状态

  • “轻传”:传代操作尽量轻柔,不要剧烈吹打细胞

  • “舍聚团”:面对大量聚团的SH-SY5Y细胞,传代时舍弃聚团细胞

图片
图片





分享到:

地址:上海市闵行区新骏环路188号6A-401

电话: 021-3463-5386

技术邮箱:order@fudancell.com

细胞库邮箱:cellbank@fudancell.com


本司产品仅用于科研,不用于临床诊断和治疗
友情链接: